CLASS II (2)
Class II
(2) represent an abnormal bite relationship in which the upper jaw and teeth
are located in front of the lower jaw and teeth , this condition is primarily
is genetic in origin. Class II patients usually show convex facial profile with
detruded (backward placed) chin. It could be due to:
·
Prominent upper jaw and /or upper
anterior teeth.
·
Backward placed or small lower jaw.
·
Combination of 1 and 2.
If your
child have those manifestations, early treatment (before or just at puberty
growth spurt) is of prime importance.
CLASS III (3)
As in
Class II (2), Class III (3) conditions are also primary genetic in origin.
However in Bahrain there are many class III cases due to nasal airway
obstruction. In class III (3). The lower jaw and teeth are positioned in front
of the upper jaw and teeth. Those patients usually seen to have large lower
jaw, but in many cases the problem is due to upper jaw lack of development
(placed backward).
If your
child has class III, immediate attention is needed as in many of these cases
surgical intervention can be avoided if treatment started timely and early
enough.
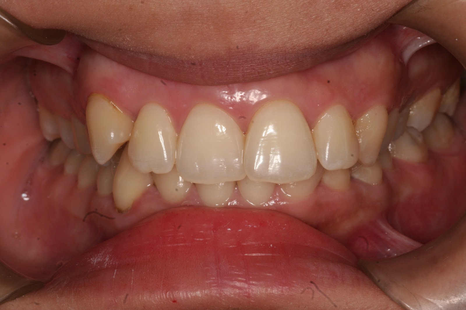
CROSS BITE
Cross
bite can occur at the back teeth (posterior cross bite) or at front teeth
(anterior cross bite), it might involve one tooth or group of teeth.
At the
back teeth (posterior cross bite), it is usually result from either wide upper
jaw, narrow lower jaw or both. Where in front of the mouth (anterior cross
bite), cross bite is due to forward
placement of one or more of lower front teeth or backward placement of one or
more upper front teeth.
Treatment
of cross bite is essential to avoid damages to the teeth (tooth wear) and to
their supporting structure (gum & bone) and also might lead to TMJ
problems.
CROWDING
Crowding
is the most common problem in Bahrain and worldwide. It is basically result
from a mismatch between the side of the teeth (their widths) and the space
available for them in the jaws. Crowding usually doesn’t come alone but
together with other orthodontic problems. Crowding might result in tooth
impaction (inability of certain teeth to erupt – retained inside the bone),
cross bite, difficult of baby teeth to fall off by themselves (retained teeth)
as well as gum disease and dental caries (due to inability to clean teeth
properly.
With the
new technology such as Damon System and timely early treatment, more and more
this problem can be sorted without the need for extracting permanent teeth.
DEEP BITE (OVERBITE)
Deep
bite is excessive vertical overlap of upper and lower front teeth(normal
vertical overlap is 20—30%) and it usually associated with the jaws too close
to each other vertically, and result in excessive eruption of both upper and
lower front teeth. If deep bite left untreated, it could result in tooth wear,
fragility and shortening of front teeth, and sever deep bite trauma to gum.
Early treatment
of deep bite is faster and more stable.
GUMMY SMILE:
It is
excessive display of the gum of upper front teeth when smiling and sometimes
even at resting position. There are several options for treatment range from
simple laser surgery to treatment excessive gum tissue to surgical correction
of the jaws.
OPEN BITE
Open
bite is the inability of teeth to meet, it can occur to the front teeth
(Anterior Open bite) or to the back teeth (Posterior Open bite).
Anterior
Open bite is inability of front teeth to
overlap vertically more common (normal vertical overlap is 20—30%) and it is due to the Jaws and/or front
teeth are widely apart vertically which
could be genetic in nature or due to nasal airway obstruction (common in
Bahrain) or due habits like thumb r digit sucking.
Beside
its negative effect on appearance, open bite could disturb chewing food and
proper speech.
When you
see such a case in your child, immediate intervention is needed to analyze the
root of the problem, eliminating it and then treating it timely and early
because if left late, surgical intervention might be needed.
SPACING
Spaced
teeth is a very common problem among Bahrainis, and it is due to smaller
sized teeth compared to the space
available in the jaw, missing one or more teeth, periodontal breakdown
(advanced gum disease) or prominent front teeth (front teeth excessively
positioned forward).
Majority
of spaces problem can be corrected with braces, however some of spaces problem
needs cosmetic and prosthetic treatments in addition to braces.
Be
reminded that to keep the correction of these cases stable (life long), you
might need to use bonded (stuck on) retainer permanently.






This comment has been removed by the author.
ReplyDeletethank you to give common dental problem post
ReplyDeleteI have a cross bite plus deep over bite so my two front teeth completely cover 3 out of four of my bottom teeth Can braces fix this?
ReplyDelete